Ple de somriures

Sonríe con confianza, salud y estética dental impecable.

Nuestro Equipo

Te damos la bienvenida a nuestra clínica dental Ple de Somriures en Badalona, somos una clínica familiar dirigida por Laila Gómez odontóloga desde 2005, al frente de Ple de somriures, fundada en el 2016 , junto con un equipo sólido y estable con una misma filosofía de trabajo.

Nos apasiona nuestro trabajo y nuestro objetivo es conseguir tu mejor sonrisa.

Tendremos en cuenta todas tus patologías y te acompañaremos para poder realizar los tratamientos más adecuados a ti.

Tratamientos

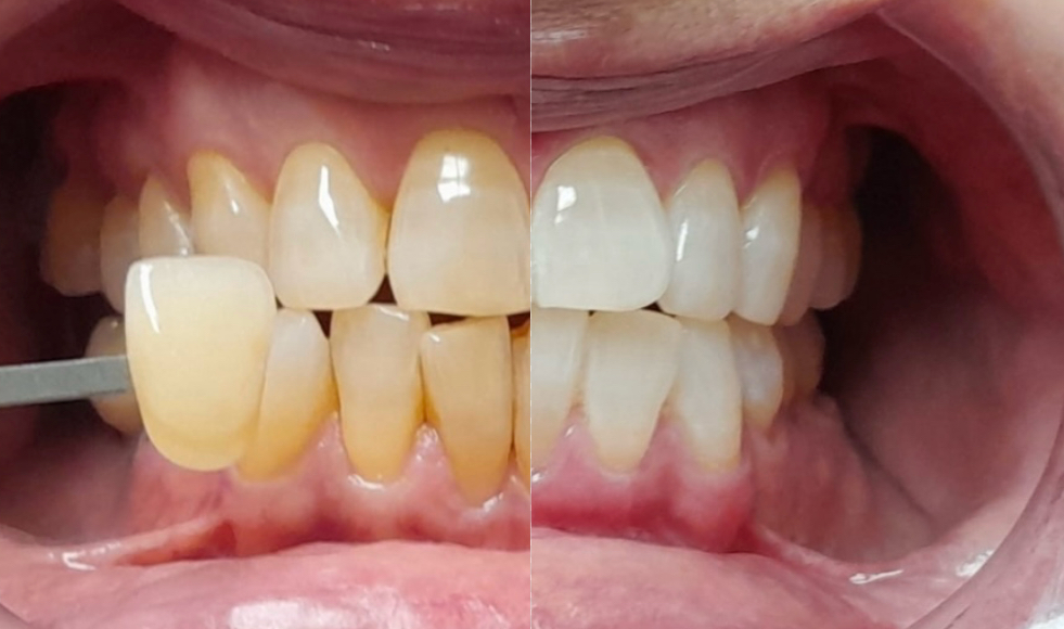
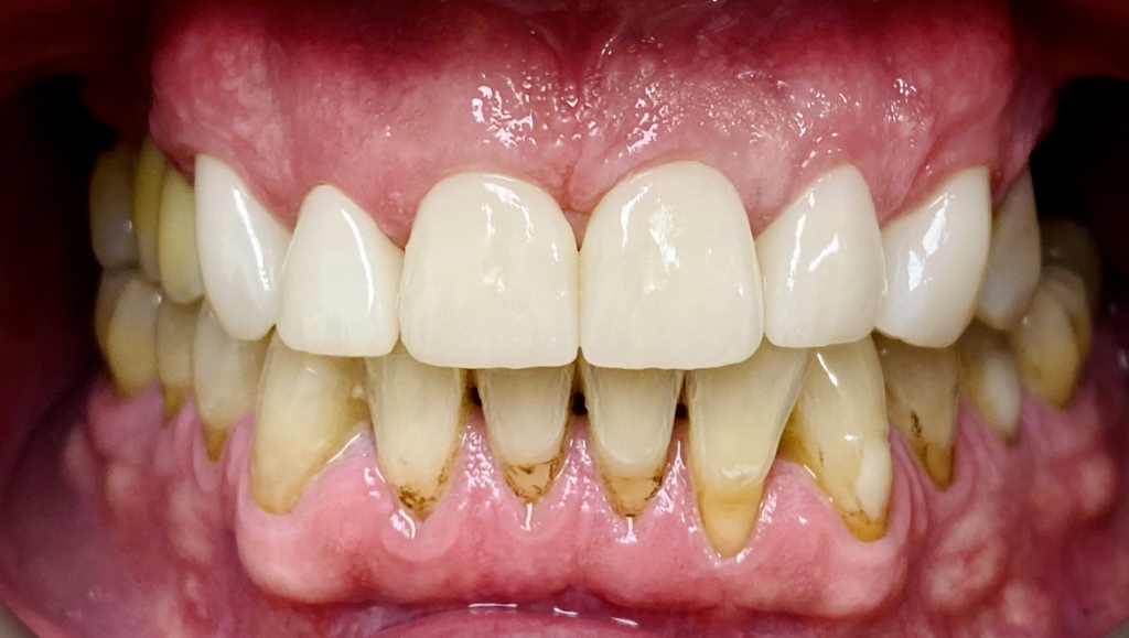
Antes y después

Caso de éxito donde el paciente recuperó un tono dental más blanco y brillante, mejorando notablemente su sonrisa.

Transformación completa de la sonrisa al restaurar dientes dañados, devolviendo funcionalidad y confianza al paciente.

¡Reserva tu sonrisa perfecta hoy!

¡Sonríe con nosotros, suscríbete a nuestro newsletter!

Recibe consejos exclusivos de salud dental, promociones especiales y todas las novedades de Ple de Somriures directamente en tu correo. Únete a nuestra comunidad de sonrisas perfectas.