Odontología conservadora

En nuestra clínica llevamos a cabo todos los tratamientos restauradores, obturaciones simples o complejas(restauraciones o reconstrucciones lo que se conoce comúnmente como empastes) con resinas para obturar o rellenar las cavidades que se producen por las caries dentales.
DSCF4843-Mejorado-NR copia

En Ple de Somriures llevamos a cabo todos los tratamientos restauradores:

Obturaciones simples o complejas (restauraciones o reconstrucciones lo que se conoce comúnmente como empastes) con resinas para obturar o rellenar las cavidades que se producen por las caries dentales.

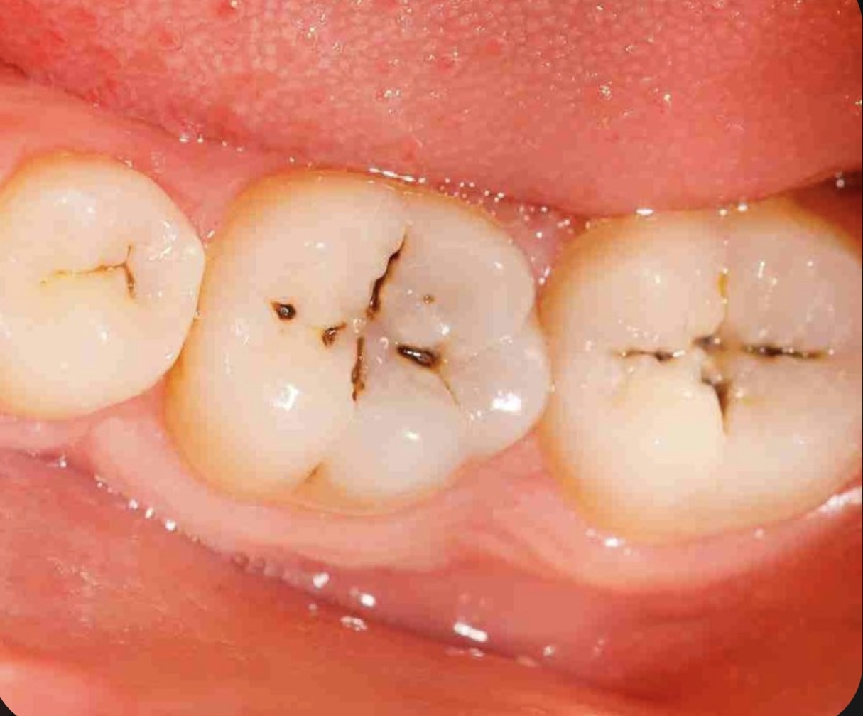
La caries dental es una afectación bacteriana muy habitual, afecta a niños y adultos y es la causa más común de la pérdida dental.

 

 

Las bacterias que se encuentran en la boca convierten los alimentos (especialmente ázucares y almidones)en ácidos y estos dañan al esmalte que cubre los dientes en su capa más superficial. Estos orificios son llamados comúnmente caries y en función de su tamaño pueden afectar al esmalte, esmalte -dentina o afectar a su capa mas profunda donde se aloja el nervio y generar un gran dolor e infección.

 

Cuando no hay afectaciones pulpar se puede realizar una reconstrucción y rellenar el defecto con resinas blancas. Si la afectación es mayor se deberá realizar un tratamiento más complejo denominado endodoncia (eliminar el nervio para conservar el diente y que este no duela).

 

La caries dental es una enfermedad infecciosa producida en la boca por un desequilibrio dependiente del azúcar que es aprovechado por los microbios que viven en ella para fabricar ácido que destruirá los dientes. La caries dental se manifiesta como una cavidad en el diente.

Deberíamos reservar el término “caries” para referirnos a la enfermedad y “cavidad” para referirnos a la lesión (agujero) que la caries produce.

Actualmente las resinas utilizadas para realizar obturaciones son composites ya que aportan mucha estética seleccionando el color del mismo tono al diente propio del paciente y modelable, es decir, que se aplica por capas hasta restaurar la forma del diente.

El origen de la caries es multifactorial: 

-Presencia de bacterias que provocan ácidos.

-Mala higiene bucodental o mala técnica de cepillado.

-Dieta no adecuada o con alto consumo de hidratos de carbono fermentados (alto contenido en azúcares refinados).

-Dientes vulnerables con poco grosor de esmalte.

No porque por norma general se aplica anestesia local antes de empezar el procedimiento salvo que la caries sea superficial y sólo afecte a la capa más externa: el esmalte.